Orthodontie

L'Orthodontie Métallique

L’orthodontie vous offre un alignement dentaire parfait ,ce qui signifie que vos dents du haut s’adapteront idéalement à vos dents du bas. Cette « occlusion » idéale facilitera tant la mastication que l’ élocution et vous aidera à maintenir une hygiène dentaire correcte. Plus seulement réservée aux enfants ,l’orthodontie s’ adresse aussi aux adultes et donne des résultats impressionnants. Pour qu’un traitement orthodontique soit le plus efficace et le plus court possible, il est important d’intervenir au bon moment ,ni trop tôt, ni trop tard. A cela s’ajoutera la satisfaction d’un sourire harmonieux et attractif.

Orthodontie céramique transparente

Contrairement aux bagues métalliques, les appareils dentaires en céramique offrent plus de discrétion aux patients en quête d’un traitement plus esthétique car leur couleur est similaire à celle de l’émail des dents.

Aligneur (Invisalign)

Les gouttières invisibles sont des appareils dentaires récents parfaitement adaptable à la forme des dents et qui sont conçus pour déplacer les dents en douceur. Portées toute la journée et toute la nuit, on peut enlever les gouttières pendant les repas. Elles ne gênent pas trop l’élocution et sont un peu moins douloureuses que les bagues. L’avantage majeur des gouttières est leur discrétion et leur facilité d’entretien. Comme on les retire pour se brosser les dents, l’hygiène dentaire est plus simple qu’avec des bagues. Il n’y a pas non plus d’endommagement de l’émail dentaire. Les gouttières peuvent être portées 21h/jour et doivent être changer toutes les deux semaines environ, et voir son orthodontiste en général toutes les 6 semaines pour s’assurer du bon déroulement du traitement.

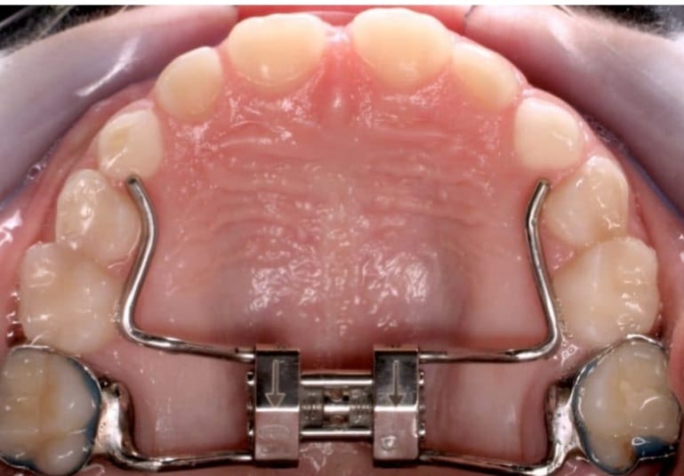
L'Orthodontie interceptive (ou l'Orthopédie dento-faciale)

L’orthodontie interceptive est employée chez l’enfant entre (7 et 11 ans) lorsque les procédures de prévention échouent et qu’une certaine alternative de l’occlusion est détectée au cours de la dentition mixte, elle dure entre 6 mois et 24 mois. 

L’objectif de cette intervention interceptive est d’influencer favorablement la croissance des mâchoires, d’assurer l’éruption de toutes les dents permanentes et de simplifier ou/et de diminuer la durée du traitement correctif ultérieur en orthodontie. 

Plusieurs dispositifs peuvent être utilisés selon l’indication posée: Masque de Delaire/ Lip Bumper/ Plaque à Verrin / Disjoncteur/ Quadelix et autres.