Esthetique dentaire
La Prophylaxie
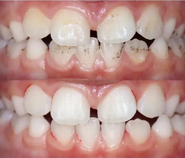
La prophylaxie bucco dentaire désigne l’élimination de la plaque dentaire, du tartre et des colorations sur les surfaces dentaires exposées ou non, grâce au techniques de détartrage, nettoyage et polissage. Ces soins sont envisagés comme des mesures préventives visant à lutter contre certains facteurs d’irritations locaux et à prévenir l’apparition de pathologies dentaires, comme les gingivites et les parodontites et à favoriser le processus de guérison. A l’exemple du tartre, la plaque bactérienne est présente dessus et en dessous de la gencive. Toutefois, la plaque la plus agressive est celle située sous la gencive. La prophylaxie bucco-dentaire s’attache donc à éliminer la plaque, le tartre, et les colorations situées au niveau des régions supra- et sous gingivales.


Un traitement prophylactique varie en fonction de chaque patient, on peut effectuer : Le scellement des sillons des dents et de fissures ou le sellant qui consiste à fermer certaines zones fragiles pour que les bactéries n’y accèdent plus. Le nettoyage, le détartrage et le polissage des dents permettant l’élimination des plaques et des tartres suivis d’un polissage des surfaces des dents soit par une pâte prophylactique ou utilisation d’un aéropolisseur dentaire tous les trimestres ou annuellement.
L’application de vernis fluoré deux fois par an ou fluoration qui sert de bouclier aux dents afin de les rendre moins sensibles et de les protéger de la déminéralisation.
L’application de vernis antimicrobien, un agent antiseptique actif pendant 3 mois et qui lutte contre les bactéries.
La Micro abrasion
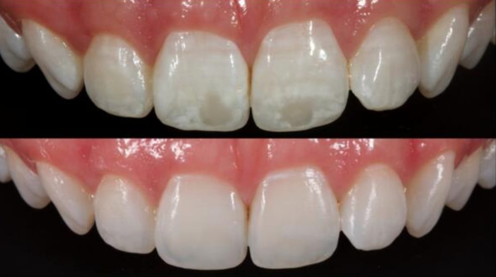
La micro abrasion est un traitement chimio-mécanique qui consiste à appliquer un acide et un agent abrasif sur la surface de ma dent affectée et qui est destinée à améliorer voire même éliminer les dyschromies limitées à la couche superficielle de l’émail.

Blanchiment des dents
Que vos dents soient obscurcies pour des raisons génétiques, à cause de médicaments, ou du fait de certaines habitudes de vie, ou qu’ils s’agissent de dents dévitalisées, le blanchiment des dents rend l’éclat à votre sourire. Dans la majorité des cas, la couleur naturelle de vos dents se trouve dans les teintes jaunes-grises. Les dents se colorent naturellement avec l’âge, et l’apparence peut-être affectée par l’accumulation de colorations, par la consommation de tabac et de certains aliments. Conscient que chaque sourire est diffèrent, notre Centre Dentaire Chifaa vous accompagne pour un résultat personnalisé en harmonie avec votre visage et dans les conditions optimales de sécurité pour votre santé dentaire, nous proposons un blanchiment au laser de meilleur qualité et répondant au normes sanitaires avec un résultat instantané sur fauteuil.

Facettes Dentaires
Avec la pause de facette dentaire, votre dentiste peut modifier la taille, la forme, la teinte d’une ou plusieurs dents, masquer une dent cassée ou abimée en surface en fonction de votre sourire et de la physionomie de votre visage. La proportion est un élément important dans l’harmonie du visage, une dent trop longue ou trop courte peut créer un déséquilibre dans la beauté d’un sourire. Les facettes se collent sur la face visible des dents antérieures. Réalisées sur mesure, les facettes céramiques offrent en effet une alternative intéressante aux composites et couronnes, avec un résultat très naturel et durable dans le temps. Les facettes sont de fines pellicules de céramique qui se collent sur les incisives et les canines, voire les prémolaires, pour améliorer leur apparence esthétique.
